Artificial blood is nothing new – indeed I wrote about this year’s planned NHS trials back in 2015 – but the problem has always been getting the red stuff in useful quantities. Our previous methods involved growing donated stem cells into mature red blood cells, but that’s a pretty inefficient process that only generates a small amount of blood and requires repeat donation. It’s certainly no substitute for donors heading to their local blood bank, losing a pint and recuperating with a biscuit.
See related Thx 4 bld 🙂 Swedish donors sent SMS when their blood saves a life Artificial blood could be running through your veins within two years, says NHS This artist powers batteries with his own blood
Scientists at the University of Bristol have come up with a new solution that may revolutionise how we generate artificial blood – and it could be a life-saving development for patients that need frequent transfusions of rare blood types.
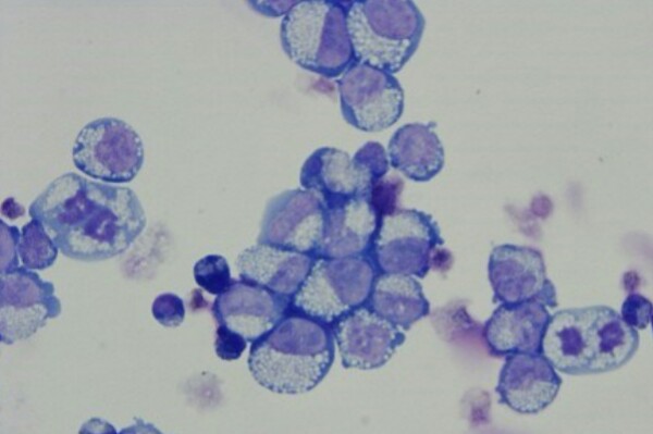
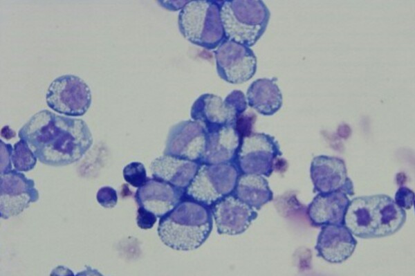
The research involved the production of immortalised erythroid cell lines taken from adult stem cells. They can be cultured indefinitely, giving a much larger yield of blood. “By taking an alternative approach we have generated the first human immortalised adult erythroid line (Bristol Erythroid Line Adult or BEL-A), and in doing so, have demonstrated a feasible way to sustainably manufacture red cells for clinical use from in vitro culture,” explains Dr Jan Frayne, from Bristol University’s school of biochemistry.
Promising as it sounds, the new process won’t be a substitute for blood donation – patients need around 1.5 million units of blood per year in the UK alone and good as this is, it won’t come close to that quantity. But if the process is successfully clears clinical trials, it could make managing certain diseases a lot easier, especially in parts of the world where safe blood is hard to come by. “The first therapeutic use of a cultured red cell product is likely to be for patients with rare blood groups because suitable conventional red blood cell donations can be difficult to source,” explained Professor Dave Anstee, director at the NIHR blood and transplant research centre – a collaboration between Bristol University and the NHS.
“The patients who stand to potentially benefit most are those with complex and life-limiting conditions like sickle cell disease and thalassemia, which can require multiple transfusions of well-matched blood. The intention is not to replace blood donation but provide specialist treatment for specific patient groups.”
So while this is a promising development, if you can, you really should continue to give blood.
University of Bristol has a breakthrough in mass-producing artificial blood
